Dental Veneers & Smile Design.
Dr. Batuhan Ünlüler

Enhance your smile with natural veneers. Veneers & Smile Design

Veneers are a popular choice for patients who are unhappy with their smile. Porcelain Laminates are very thin porcelains which are applied only on the front surface of your teeth by preparation and adhered to the tooth surface with very strong adhesives.

It is a conservative form of treatment. It is used for the restoration of teeth that are congenitally discolored or have developed over time, have material loss, minimal crowding, gaps between them called diastema, and teeth that have lost their form and function.

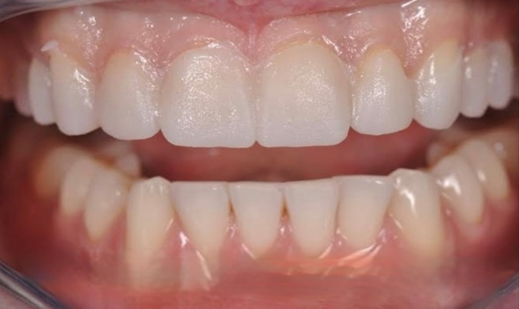
Dental Veneers & Smile Design.
Dr. Batuhan Ünlüler

Enhance your smile with natural veneers.

How is Digital Smile Designing done?

1. Consultation – Our cosmetic dentist will examine your teeth, listen to your preferences and expectations and takes a Digital or Manual impression.

2. Exhaustive Digital Photography – The beginning of designing your smile starts with clicking great photos of you by our professional photographers in the exclusive digital photo studio. We make sure to capture the images of the teeth in different profiles with which post treatments can be designed according to the patient’s objectives.

3-Video Analysis – Photographs provide us with the static movements of teeth, lips & smile. So, to capture the dynamic movements a short video clip is necessary for us to see how your smile relates to your face in normal speech.

4 -Smile Design Analysis – We put all the gathered information into our DSD software to Design changes to your smile along with taking into consideration of your preferences.

5-Mock up–This final 3D design is then translated to our master technicians who will contribute to the blueprint of your smile.It gives a preview of how your final smile will look. At this stage, any changes can be made about tooth length, shape and colour.

Once the final smile designs are agreed, you will be informed about the treatment duration, procedure and cost of the treatment.

Firts Appointment:

Dr. Batuhan Unluler designs a temporary new smile using his unique FAD principles. First of all, after the patient's photographs are taken, facial analysis is performed, a digital smile design is made in line with the patient's wishes and directions (colour , shape ..) and a mock-up is prepared.The prepared mock-up is applied to the patient's teeth

Second Appointment:

After wearing the temporary smile, the patient returns to provide feedback on the look and fit of their veneers. Based on this feedback, a master ceramist creates a new mold to make the final veneers. In this session tooth preparation begins and preparation is made on the front surface and opening the gaps between the teeth. Then dental impressions are taken.

Third Appointment:

Dr. Batuhan Unluler fits the patient with the permanent veneers. At this appointment, he removes the temporary veneers and the patient receives their new, permanent smile.